Osteochondr……. what?
When I was in 9th grade I was diagnosed with a knee disorder called Osteochondritis Dessicans (OCD). From the Mayo Clinic Website OCD is described as:
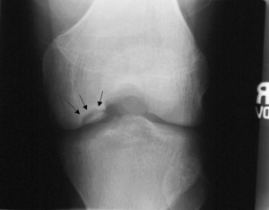
Osteochondritis dessicans (os-tee-o-kohn-DRY-tis DES-uh-kanz) is a joint condition in which a piece of cartilage, along with a thin layer of the bone beneath it, comes loose from the end of a bone. Caused by reduced blood flow to the end of a bone, osteochondritis dessicans occurs most often in young men, particularly after an injury to a joint. The knee is most commonly affected, although osteochondritis dessicans can occur in other joints, including your elbow, shoulder, hip and ankle. If the loosened piece of cartilage and bone stays put, lying close to where it detached, you may have few or no symptoms of osteochondritis dessicans, and the fracture can often heal by itself. Surgical repair may be necessary if the fragment gets jammed between the moving parts of your joint.
Throughout junior high I had been having left knee pain during athletics and activity, symptoms like locking up, throbbing sensations, sharp piercing pains. My father, being in the orthopedic sales business, knew all the best local orthopedic surgeons and in the fall of 1981 we finally decided to get into see someone and have some x-rays taken. OCD was the diagnosis. Of course at the time, that didn’t mean anything to any of us. Unfortunately, now I know the condition all too well. The treatment I was to choose from? Either knee surgery or a one year period of inactivity to try to allow the loose cartilage to reheal to the bone in my knee and hopefully fend off many future issues. As I was only 13 years old at the time the choice was clear, stay off the knee for a year and see what happens. This didn’t mean complete rest or crutches, just avoid sports for a year, no running around, no hard-pounding activities.
I stayed inactive as much as I could that year, hard for a teenage kid who was very active. I rode my bike a lot because that was approved by the Doc and I hoped for the best. A year later, the knee was somewhat better, but still caused problems occasionally. But consensus was that there had been some improvement so with my parent’s and the doctor’s blessing I resumed a normal childhood.
Let me tell you about my un-storied basketball career.
I was a somewhat athletic kid, but never a superstar athlete in school… no, not even a star athlete in school… well, actually not even an athlete in school. But I was a BEAST on the driveway basketball court at my house, running and jumping and knocking down 40 foot shots from the bushes in my front yard. Myself and Don and Vinnie and Scott and all the other kids around the neighborhood would play basketball constantly, my driveway being the court of choice, in the spring, in the summer, in the fall, even sometimes in the winter. But I never made it to the “big leagues” of the local public schools. I went to junior high and high school in Smithtown, New York, a suburban town on the North Shore of Long Island about midway between New York City and the eastern tip of the island. It was a sizeable town with a large number of kids and there were two big high schools. Athletics were very competitive and if you were not at the top of the heap you just weren’t able to make the teams, that’s just the reality of being an average kid at a big school. But I wanted to give it a shot, I wanted to try out in 9th grade for the freshman basketball team, I was ready to step out and go for it. Then came the diagnosis, Osteochondritis Dessicans, and I had to forfeit my attempt at playing basketball that year. Amazingly, only 12 kids tried out and by default, all of them made the cut, they needed all 12 kids to field the team. Had I been player number 13, I probably also by default, would have made the team.
A year later, when basketball tryouts came again, I stepped up and gave it my best shot. This year there were several more kids plus the core 12 kids that had played together and gelled the year before. I didn’t make the team and I remember how disappointed I was. I remember thinking if only I had been able to play the year before, the year when they didn’t cut anyone. I would have become one of those core kids and been in a better position in 10th grade to make it successfully through that tryout. But it wasn’t meant to be that year and that was the last year I tried out for any sports.
So, what’s my point?
My daughter just made the 7th grade girls basketball team and I am giddy with delight. We are in a much smaller, rural school district than I grew up in and I hope my kids have better opportunity than I did. The middle school she attends recently held their girls basketball tryouts and the coaches selected two teams and they actually had to cut a bunch of kids. I’m not one to push my kids into any activity, sports or otherwise that they are not 100% invested in themselves. I am here to act in a supporting role, and she and I talked about the tryouts a lot in the weeks leading up to the first night on the courts, you know, the usual stuff… do your best, if you don’t make it we’ll practice harder for next year… blah, blah, blah. But in reality I was so terribly concerned about her not making it because I didn’t want her to feel that disappointment that I still remember so vividly. As I look back now I understand that for me it wasn’t really a big deal and didn’t have any significant impact on my life. But for a kid whose life, whose existence is so limited and fragile, it is a big deal… it’s a HUGE deal, and I didn’t want her to have to go through the feeling of not being good enough.
In the end, she made it and I am a proud Dad and she is a proud kid and for now all of the stars are aligned. Will they always be aligned? No, of course not, and I’ve tried to make that clear to her also, that each year the competition gets harder, the kids get bigger and stronger and more athletic, the games get more serious, and the day may come that either she decides or a coach decides that she no longer makes the cut. Maybe that will happen and maybe not, and until then we will bask in this year’s 7th grade basketball season.
Within the last 3-4 years I have had two knee surgeries to repair the OCD issue in my left knee. The first was not successful, the second, I actually traveled to Chicago to the Rush Medical Center and was operated on by Dr. Brian Cole, one of the team physicians for the Chicago Bulls and White Sox. That surgery was moderately successful and I was able to be a lot more active than I had been in the years before. It has since begun to deteriorate once again, but even though its painful at some level everyday, its something I’ve learned to live with and deal with. There may be another surgery down the road at some point, but right now I just don’t want to take on the 6-8 weeks of crutches and the brutal months of rehab. It’s terribly difficult and I have to weigh the costs and the benefits. I still play basketball once a week with a bunch of old guys like myself. We run hard for two hours, we have fun, we get some badly needed exercise and the next day my knee usually hurts a lot more than it would on a regular day. I love it though, and I always tell myself and anyone that questions why I do it, “you can’t stop living!”
I think that is a good motto to live by. I hope my basketball playing daughter always feels that way too!


That’s great…tell her “Congrats”….you want to talk about big classes….when I graduated in 88…we had 602 in my class…yes that was just seniors….does not include all the juniors, sophmores, & freshmen in that high school! Sorry about the problems that kept you from going big time!
Wow, that is a big school! We had about 2000 students, so roughly 500 seniors graduating out each year. Of course there was a 2nd high school, I assume similar size, it was pretty far away from us so we didn’t know many kids that went there. Made for a great rivalry though!
I always say that to myself when I want to keep my children in a box… I mean sheltered. Congrats to you both!
Please don’t put your kids in a box… you’ll have Child Protective Services after you… LOL! Seriously though, it’s a tough thing to refrain from always wanting to keep your kids sheltered…. especially when they are the ages of mine and yours… and beginning to spread their wings out and find their own way. It’s finding that fine balance amongst all the chaos!!
Hey you,
Sorry about your knee. BUT silver lining- you can walk!!!
I have two things to say:
1. In hindsight all the things we would have done may have been VERY different, but we can not live like that. So dont worry about whether you would have made the team…..
2. Winners know how to be loosers too. My little girl literally gets herself into a raging fit if she looses at something. Horrible. I have to explain to her that winning takes hard work, and there will be people out there that may just get there before you do. So right now, unlike you- I need my little girl to loose a little bit and come back down to earth. Haha.
Great post.
xx
Yes, I can walk and even run sometimes 🙂 and don’t worry I got over the basketball thing loooooong ago!
And you are definitely right about #2. As you said, we need to teach our kids that sometimes you win and sometimes you lose. It comes down to good sportsmanship which is seemingly becoming more and more a lost art in the sports world. Not only in the pro’s, but all the way down to the parents on the sidelines at a little league game! SAD!!!
Okay, so I don’t know if anyone is still following this thread, but tonight was b-ball night and my 43 year old body is not too sure it wants to keep on living… uuugh… its a 4 Advil night!
As promised, your blog’s amusing, energetic, and a general good morning read. (The x-ray is flipped, btw. Fibula goes on the other side on a right leg. That’s why the “R” marker shows backwards. I’m a rad tech.)
That’s funny, I’ve certainly seen enough of my own knee x-rays but would never have noticed this one being flipped! Thanks for visiting!
also had a few debridements and eventually uni-lateral replacement in 2008. I was 24. As of today, My knee is openly disintegrating again, and causing severe pain. (Albeit, I have been lifting weights for the past 14 months. @160 I’m squatting between 135-185 in a session. I guess I’ll have to chill with squats and leg presses. Anyway, I have an appt next Monday with William Macaulay, who did the original replacement at Columbia Presbyterian, Manhattan. This sucks! And, as an avid bowler, I’m just glad it’s not my slide knee!